Introduction to X-Rays and Gamma Rays
After reading this section you will be able to do the following:
- Discuss why X-rays are important and how we use them.
X-rays and gamma rays differ only in their source of origin or how they are generated. There are, however, very distinct characteristics associated with these energy forms. Two key points to remember about the characteristics of radiation are that X- and gamma rays are not bits of matter, they are electromagnetic wave forms possessing no charge and no mass, and they can be characterized by frequency, wavelength, and velocity.
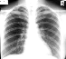
When we go to the dentist to get our teeth cleaned, the dentist may want to take a picture of them to see if we have any cavities. This is not really a picture, but rather something called a radiograph, or an X-ray. Your dentist is actually using a small amount of radiation to create a radiograph which is an image of your teeth. The radiation that a dentist or doctor uses is often called X-rays. X-rays are a form of electromagnetic energy just light-rays and micro-waves are. X-rays have more energy than light-rays so they can penetrate and travel through materials that light-rays cannot.
Film is sensitive to x-rays in the same way that it is to light-rays, so X-rays can be used produce images. X-rays that are sent through an object can produce an image on a piece of film placed on the opposite side of the object. By examining the image or radiograph, the dentist can examine teeth for things such as cavities, which are not always readily seen. Cavities can be very small defects in your teeth. They are often too small to be seen by simply examining your teeth with the naked eye.
X-rays also aid in the treatment of medical patients who have cancer. They can kill the bad cells so that they cannot continue to divide and spread. X-rays can also be used to kill bacteria that causes food to spoil. This is what was used to preserve the food that the astronauts ate while on the moon and in space.
Did you know that X-rays are also used to produce radiographs of materials and objects to locate internal cracks and other defects? Many important parts are radiographed before they are put into our cars, and welders often radiograph their welds to make sure they have done a good job.
Film is not always used. Specialized pieces of equipment have been developed that are sensitive to X-rays and produce a image that can be viewed on a video monitor. You may have seen one of these instruments in use at the airport X-raying passengers' baggage to ensure that harmful objects are not taken on to the aircraft.
Radiation has all sorts of uses that are very important to all of us. Continue on to learn more about X-rays.
Review:
- Dentists, doctors, NDE inspectors, and airport personal are just some examples of people who use X-rays in their jobs.
- X-rays can be used to "look inside" an object and to locate defects in materials.